学术进展

Academic

学术进展

重肝首页  >  学术进展  >  病毒性肝炎  >  【重肝在线】第十一期:一例药物性亚急性肝衰竭患者的诊治分享

一例药物性亚急性

肝衰竭患者的诊治分享

 

 

 

病历摘要

 

 

 

1.基本信息

 

患者女性,42岁,农民。因“间断发热2月余,眼黄、皮肤黄染1月余”于2018年9月入院。患者2月余前无明显诱因出现发热,体温最高38.5摄氏度,伴畏寒寒战,无咳嗽咳痰,无皮肤巩膜黄染、反酸、恶心等不适,2018-7-25就诊于当地诊所,考虑上呼吸道感染,予克林霉素加左氧氟沙星抗感染及补液对症治疗3天,体温恢复正常;但此后患者间断自觉发热,未监测体温,伴畏寒、寒战,无咳嗽、咳痰、腹痛、腹泻、盗汗等,曾自行口服对乙酰氨基酚2次退热治疗;1月余前出现乏力、皮肤巩膜黄染,伴恶心、呕吐,伴脐周疼痛,呈绞痛,可耐受,持续数分钟后可自行缓解,未在意,未诊治;皮肤巩膜黄染逐渐加重,1周(2018-9-18)前伴发双下肢水肿、腹胀、尿少,浓茶色尿,就诊于当地柳林县人民医院,查血常规:WBC 5.50X109/L,HGB 120g/L,PLT 108X109/L,N 70.9%;CRP 36.7 ug/mL,血沉 23.11mm/h,肝肾功能:ALT 723U/L,AST 767 U/L,TBIL 114.67umol/L,DBIL 78.48umol/L,ALB 31.4g/L,GGT 145.3U/L,ALP 282.2U/L,Cr 83.3umol/L,上腹部CT(2018-9-21)提示“肝硬化,腹水,胆囊炎?”予护肝退黄、补充白蛋白等对症治疗,效果欠佳。复查肝功能提示ALT 370.9U/L,AST 427.2U/L,TBIL 202.39umol/L,DBIL 197.21umol/L,ALB 37.5g/L,GGT 144.11U/L,ALP 274.5U/L;入院1天前转至北京大学第三医院,肝肾功能提示:ALT 208U/L,AST 334U/L,TBIL 283.2umol/L,ALB 37g/L,胆碱酯酶 2348 U/L,Cr 131umol/L,血淀粉酶429 U/L,脂肪酶 2373 U/L,PTA 32%,逐转至我院急诊,复查肝功能提示TBIL 327.2umol/L,DBIL 273.1umol/L,ALB 34g/L,PTA 32%;为进一步诊治收入院。

 

平素健康状况良好,否认高血压、心脏病、糖尿病病史。否认外伤史,否认手术史。否认过敏史。失眠症8月余,间断口服中药治疗8月,其中6月份药方含有首乌藤15g。否认肿瘤家族史,否认遗传性疾病家族史,否认其他传染性、家族性疾病史。

 

 

2.体格检查

 

体温:37.1℃,血压:146/82mmHg,脉搏:92次/分,呼吸:20次/分。发育正常,神志清,精神弱,慢性病容,自主体位。皮肤、巩膜重度黄染,肝掌阴性,蜘蛛痣(-),双肺呼吸音清,未闻及干湿罗音,心音正常,心律齐,各瓣膜区未闻及病理性杂音。腹饱满,肝浊音界不明显,肝脾触诊不满意,全腹部压痛、反跳痛阳性,Murphy征(+),移动性浊音可疑,双下肢轻度水肿,病理征阴性。

 

 

3.辅助检查

 

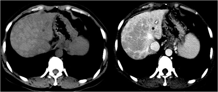
肝肾功能:ALT 223.6 U/L,AST 348.3 U/L,TBIL 338.9umol/L,DBIL 294.7umol/L,Cr 109.9umol/L,ALB 31.7g/L。凝血功能:PTA 30%,APTT 45.5S,D-Dimer 844ug/L。血氨:30mmol/L。血淀粉酶:387.8U/L,尿淀粉酶 294.1U/L。电解质:K+ 2.64mmol/L,NA+ 141.4mmol/L,Ca 2.22 mmol/L。乳酸:2.03mmol/L。心肌酶正常、BNP正常血常规:WBC 5.54×109,PLT 123×109,HGB 114g/L,NEU% 65.8%,CRP 4mg/L,PCT 0.61 ng/ml,G试验129.6pg/ml,GM试验阴性,TB-SPOT 阴性。甲、乙、丙、丁、戊型肝炎病毒标志物检测均阴性,自身抗体:ANA 1:320 胞浆颗粒、核颗粒;其他相关抗体均阴性,特种蛋白示IgG 28.5g/L,IgA 6.05g/L,IgM 3.51g/L,补体C3/C4下降。IgG亚类测定四项均正常。血培养阴性。铜蓝蛋白、24小时尿铜均正常甲状腺功能:TT3、TT4、TSH均下降。肿瘤标记物:AFP 40ng/ml;CA199 372.9U/ml,其他正常。心电图:正常心电图。胸片未见异常超声心动未见明显异常。腹部增强CT(2018-9-28,图1)示1、肝脏炎性改变可能 2、肝硬化不除外,脾大,侧枝循环形成 3、肝囊肿 4、胆囊炎 5、腹膜后及腹腔多发轻度肿大淋巴结,炎性反应性增生可能。

 

图1 腹部增强CT

 

 

4.诊疗经过

 

入院后完善检查,计算RUCAM评分中R值约等于8,考虑药物性肝损伤、肝细胞损伤型。结合患者其他化验指标,考虑诊断亚急性肝衰竭、肝功能异常原因待查、药物性肝损伤可能性大、腹水腹腔感染、急性胰腺炎不除外、急性肾损伤。入院后予禁食水、补液、监测生命体征、出入量、血糖;嘱患者卧床休息,予复方甘草酸苷注射液、丁二磺酸腺苷蛋氨酸、熊去氧胆酸药物治疗,予奥美拉唑、奥曲肽、乌司他丁治疗,纠正电解质紊乱,予比阿培南抗感染治疗;并予输注新鲜冰冻血浆、补充白蛋白等治疗,先后予人工肝治疗3次(模式分别为血液灌流+血浆滤过吸附+血液透析滤过、血液灌流+血浆滤过吸附+血液透析滤过、血液灌流+血浆滤过吸附+血浆置换),每次治疗时间间隔1周。待淀粉酶恢复正常,腹痛消失后,嘱患者保证能量摄入,高热量饮食,夜间加餐。经内科综合治疗及人工肝治疗后,患者胆红素从最高达487.7 umol/L到波动在200 umol/L左右,PTA波动在15-20%之间,肌酐维持在90umol/L左右;乏力、纳差症状改善,但患者病程反复出现低钠血症、低血糖症状,凝血功能始终未见改善,最终转至朝阳医院行肝移植治疗。

 

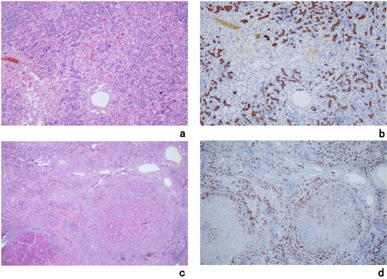
随访本例患者,患者肝移植术后病情稳定,胆红素逐渐下降至正常,凝血功能恢复;不适症状消失;外院肝脏组织标本病理检查结果回报符合药物性或中毒性肝损伤表现,经我院病理会诊意见(图2/3):1.镜下所见:肝细胞桥节坏死及多小叶坏死后塌陷,坏死带内网状纤维塌陷及显著的胆管反应性增生,单个核为主的炎细胞浸润,残余肝细胞再生呈岛状,部分肝细胞淤胆。2.病理诊断:肝组织大块坏死,伴细胆管反应增生及早期再生,符合亚急性肝衰竭表现,免疫组化:CK7(增生的胆管+),CK19(增生的胆管+)。

 

图2 肝脏大体标本

 

图3 a:HEx100大片坏死后细胆管反应性增生,

b:CK7x100大片坏死后细胆管反应性增生,

c:HEx40结节状再生,

d:CK7x40结节状再生

 

 

 

 

 

 

 

病例分析

 

 

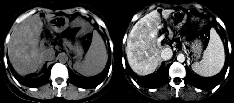
本文患者为青年女性,无肝病基础,此次发病前因失眠症间断口服中药治疗8月,结合患者临床表现、化验检查结果,考虑诊断“亚急性肝衰竭”。入院前,患者病程已持续2月,入院时合并胰腺损伤、腹腔感染、肾功能不全,经内科综合治疗联合人工肝治疗后,患者胰腺炎、腹腔感染、肾功能情况均好转,未并发其他并发症;但内科治疗维持1月余后,患者凝血功能未见改善,PTA持续在20%以下,反复出现低血糖表现,患者腹部CT提示平扫肝实质密度不均,多发不规则低密度灶,增强扫描肝实质强化欠均匀,可见多发片状强化减低区,同时胃底静脉可见迂曲扩张,脾大,侧枝循环形成;考虑患者肝硬化不除外;另外,值得注意的是,本文患者住院起反复出现低血糖症状,需持续高糖泵入维持血糖水平;在肝功能衰竭时,肝细胞大块坏死严重地影响了肝脏糖代谢。肝脏是糖代谢的重要器官,糖原的合成和分解、糖酵解、糖异生和糖类的转化等维持血糖稳定的代谢活动都在肝脏进行。由于肝脏巨大的储备功能,超过80%以上肝细胞坏死时才会出现肝功能衰竭和糖代谢异常,其中70%以上表现为低血糖;低血糖提示肝脏功能有严重损伤,对于肝衰竭的进展及预后有一定的预测作用。本文患者持续低血糖,侧面反映患者肝脏坏死程度严重,提示预后差,积极控制低血糖有望降低肝衰竭的病死率。

 

综合患者内科治疗效果、化验指标及家属意见,最终行肝移植治疗。

 

在肝移植术后,从患者的肝脏大体标本可以看出,患者肝脏表面已有多发结节形成,肝脏病理提示肝组织大块坏死,伴有细胆管反应增生及早期再生;如患者不进行肝移植治疗,只单纯接受内科治疗,随时有出现新发并发症的可能,肝衰竭进一步恶化,死亡风险增加;即使患者最终缓慢恢复,但有进展为慢性肝衰竭,或形成肝硬化的风险;因此建议该类患者尽早行肝移植治疗,避免继续内科治疗过程中可能出现的病情加重造成死亡,或进展为慢性肝衰竭、肝硬化。

 

 

 

参考文献

 

 

 

1. 陈丽丹,潘延凤.血糖水平与肝衰竭患者预后的临床分析.中国实用医刊,2017,44(13):43 -44.

2. 吴凤萍,李亚萍,杨颖,等.血糖和总胆固醇水平对肝衰竭患者预后的影响.实用肝脏病杂志,2018,21(3):413-416.

3. 谢能文,何金秋,熊墨龙,等.低血糖与肝衰竭患者预后的临床分析.实用临床医学,2014, (4): 41-42,45.